نجح تشخيص طبي دقيق في وضع حد لمعاناة شابة تبلغ من العمر 35 عاما، استمرت لأكثر من عامين، بعد سلسلة طويلة من التشخيصات غير الحاسمة والفحوصات التي لم تصل الى نتيجة واضحة، قبل ان تنتهي رحلتها العلاجية بكشف مرض مناعي نادر كان السبب الحقيقي وراء تدهور حالتها.
وقال الدكتور حسام ابو فرسخ، استشاري تشخيص الأمراض النسيجية والسريرية، ان المريضة بدأت معاناتها بارتخاء في جفن العين اليمنى، تلاه ظهور كتلة غير طبيعية على بياض العين، الامر الذي انعكس سلبا على حالتها النفسية وثقتها بنفسها، قبل ان تتطور الاعراض لاحقا الى ضعف تدريجي في السمع في الجهة نفسها.
وبين ان المريضة راجعت عددا من العيادات وخضعت لفحوصات متعددة وخزعات نسيجية، الا ان جميع النتائج لم تقدم تشخيصا حاسما، ما ابقى حالتها دون علاج فعلي، وعمق شعورها بالقلق والتيه الطبي.
واوضح ابو فرسخ ان نقطة التحول جاءت عند الربط بين اعراض العين وضعف السمع في الجهة اليمنى، ما دفعه لطلب اعادة فحص شرائح الخزعات السابقة، مع قراءة متأنية للتاريخ المرضي، وهو ما قاد الى كشف التشخيص الحقيقي.
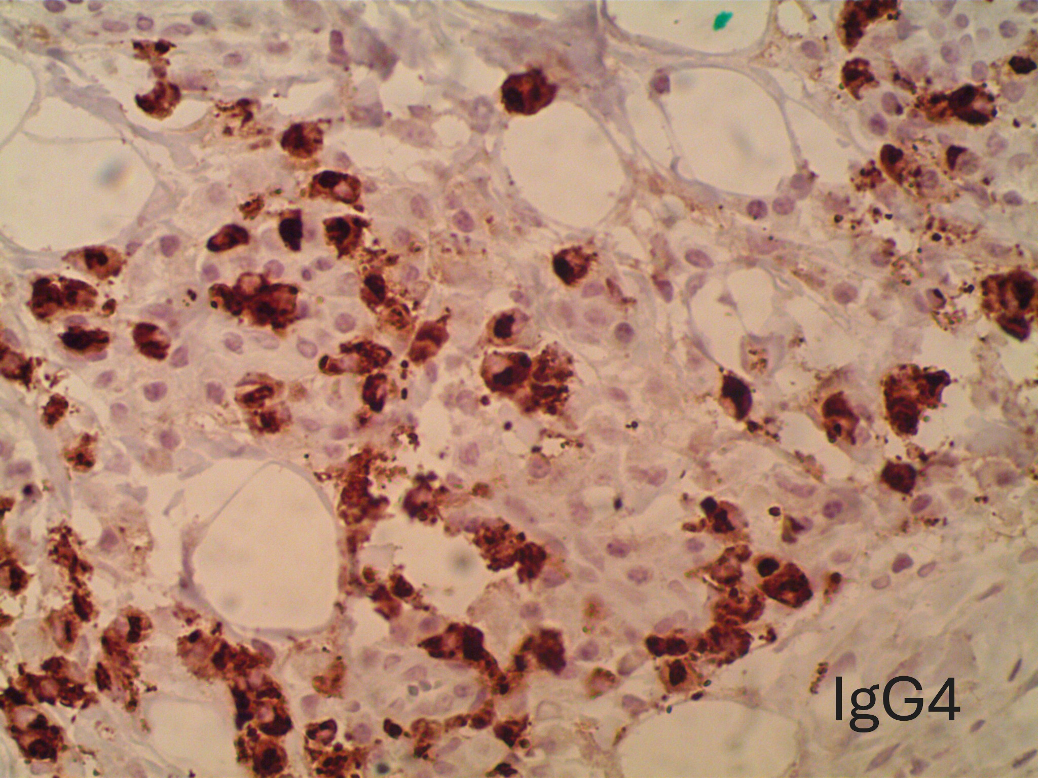
واكد ان التشخيص النهائي تمثل بمرض مناعي نادر يعرف باسم IgG4-Related Ophthalmic Disease، وهو اضطراب يؤدي الى انتاج مفرط لاجسام مضادة من نوع IgG4، تتسبب بتضخم وتليف في الانسجة، وهو ما يفسر ظهور الكتلة العينية وتأثر السمع في الوقت ذاته.
واشار الى ان الوصول للتشخيص الدقيق مكن من وضع خطة علاجية واضحة تعتمد على مثبطات مناعية دقيقة، متوقعا اختفاء الاعراض وعودة المريضة الى حياتها الطبيعية بشكل كامل.
وشدد على ان هذه الحالة تمثل رسالة طبية مهمة مفادها ان التشخيص الصحيح، القائم على رؤية الصورة الكاملة وربط الاعراض ببعضها، هو الفارق الحقيقي بين سنوات من المعاناة وعلاج ناجز، مؤكدا ان التشخيص الدقيق يبقى دائما اقصر الطرق للشفاء.



